Can Pet Ct Scan Detect Breast Cancer / Technology Focus Diagnostic Pet Ct Scan At Summit Cancer Centers / Pet scans can be used to determine how much cancer is in a person's body and how far the cancer has spread, which is called staging.
Dapatkan link
Facebook
X
Pinterest
Email
Aplikasi Lainnya
Can Pet Ct Scan Detect Breast Cancer / Technology Focus Diagnostic Pet Ct Scan At Summit Cancer Centers / Pet scans can be used to determine how much cancer is in a person's body and how far the cancer has spread, which is called staging.. Its supposed to be more sensitive/specific than naf and other older scans, and comparable i think to choline or acetate (lots of studies and info on the web) and. In some cases, physicians use all three imaging techniques. It's an effective imaging test for finding cancer and learning its stage. Right now, ct scans are not used routinely to evaluate the breast. When breast cancer cancer spreads.
With cancer cells, they appear as bright spots due to its higher metabolic rate compared to normal cells. It is common for patients to receive a diagnosis for cancer of unknown primary. With that being said, not all cancers can be detected by pet. This substance is often called a tracer, because it helps reveal cancer in the body. Each has its own strengths.
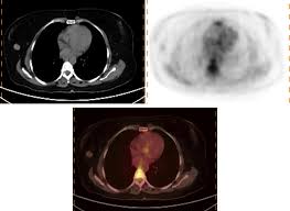
Fdg Pet Pet Ct And Breast Cancer Imaging Radiographics from pubs.rsna.org A breast pet scan is often very specific and sensitive and is approved for patients. It's an effective imaging test for finding cancer and learning its stage. Bone scans, positron emission tomography (pet), and computed tomography (ct) all continue to be employed alone or in combination for the detection of breast cancers suspected to have spread. Breast positron emission tomography (pet) scan is an imaging test that uses a tracer (radioactive substance) to look for symptoms of breast cancer. Pet scan is a type of test that may be used in cancer treatment. Pet scans can be used to determine how much cancer is in a person's body and how far the cancer has spread, which is called staging. It can be done along with a ct scan. Pet scans can be useful for evaluating people after breast cancer has already been diagnosed, in a number of different ways:
For cancer, pet is especially useful as it can scan the entire body and pinpoint both a primary tumor and areas of metastasis (where the cancer has spread).
The test has only a limited ability to detect small tumors. Pet scan for breast cancer a positron emission tomography (pet) scan is an imaging test that uses a radioactive substance (called a tracer) to look for potential spread of breast cancer. In some instances, cancers may not show on the scan. Combining a pet scan with an mri or ct scan can help make the images easier to interpret. Pet scans can be used to determine how much cancer is in a person's body and how far the cancer has spread, which is called staging. This tracer can help identify areas of cancer that an mri or ct scan may miss. With cancer cells, they appear as bright spots due to its higher metabolic rate compared to normal cells. However, the pet scan uncovers every unusual activity in the body and is more sensitive than any other existing imaging test. Pet/ct scan can accurately localize lymph node metastasis and help to monitor the response to chemotherapy. Breast positron emission tomography (pet) scan is an imaging test that uses a tracer (radioactive substance) to look for symptoms of breast cancer. Pet scans can also help to assess whether metastatic breast cancer is responding to the treatment. Pet scans are not used to screen women for breast cancer. Pet/ct scans using axumin tracer, approved by fda last year and newly approved by medicare in some areas, are starting to be done at different locations.
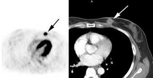
Pet/ct scans using axumin tracer, approved by fda last year and newly approved by medicare in some areas, are starting to be done at different locations. Pet scan for breast cancer a positron emission tomography (pet) scan is an imaging test that uses a radioactive substance (called a tracer) to look for potential spread of breast cancer. In a ct scan, you can see the broad pictures of all tissues and organs present in the body. However, the pet scan uncovers every unusual activity in the body and is more sensitive than any other existing imaging test. At left is a ct scan, while the center image is from a pet scanner.
The Clinical Utility Of Fdg Pet Ct In Follow Up And Restaging Of Breast Cancer Patients Sciencedirect from ars.els-cdn.com Pet scan is a type of test that may be used in cancer treatment. A ct scan produces multiple images, providing a detailed picture of the internal anatomy, including the location of cancerous growths. If you have a large breast cancer, your doctor may order a ct scan to assess whether or not the cancer has moved into the chest wall. This substance is often called a tracer, because it helps reveal cancer in the body. It is similar to a pet scan, but it uses a different radioactive substance that settles in areas of change in the bones. For cancer, pet is especially useful as it can scan the entire body and pinpoint both a primary tumor and areas of metastasis (where the cancer has spread). In some instances, cancers may not show on the scan. When breast cancer cancer spreads.
This radioactive tracer can help identify areas of cancer that an mri or ct scan may miss.
It is common for patients to receive a diagnosis for cancer of unknown primary. Types of cancer detected and treated. Its supposed to be more sensitive/specific than naf and other older scans, and comparable i think to choline or acetate (lots of studies and info on the web) and. With that being said, not all cancers can be detected by pet. A breast pet scan is often very specific and sensitive and is approved for patients. Although it is not appropriate for all patients with breast cancer, fdg pet/ct can have an important clinical effect for appropriate patients. Normally, a pet scan is not used for breast cancer screening. With cancer cells, they appear as bright spots due to its higher metabolic rate compared to normal cells. When breast cancer cancer spreads. Each has its own strengths. For cancer, pet is especially useful as it can scan the entire body and pinpoint both a primary tumor and areas of metastasis (where the cancer has spread). This test can help show if the cancer has spread to your bones. One example is a combined pet and ct scan (known as pet/ct), available in some centers.
Thus, pet/ct detected a primary breast mass and metastatic lymphadenopathy that mammography and ultrasonography failed to detect a finding not previously reported, to our knowledge. Mammograms take advantage of the fact that most of the female breast is fat tissue, so it's relatively transparent to the low doses of radiation used in mammography. One example is a combined pet and ct scan (known as pet/ct), available in some centers. Does anyone know if a ct scan can show breast cancer or colon cancer rather than the standard mammogram or colonoscopy? When breast cancer cancer spreads.
Is Radiation From A Ct Or Pet Scan Dangerous Cancer Ut Southwestern Medical Center from s3-us-west-2.amazonaws.com It is common for patients to receive a diagnosis for cancer of unknown primary. Pet scans can be useful for evaluating people after breast cancer has already been diagnosed, in a number of different ways: Types of cancer detected and treated. I am wondering, and never asked the oncologist about this. Bone scans, positron emission tomography (pet), and computed tomography (ct) all continue to be employed alone or in combination for the detection of breast cancers suspected to have spread. At left is a ct scan, while the center image is from a pet scanner. However, you may hear your doctor refer to this procedure just as a pet scan. Its supposed to be more sensitive/specific than naf and other older scans, and comparable i think to choline or acetate (lots of studies and info on the web) and.
A breast pet scan is often very specific and sensitive and is approved for patients.
Mammograms take advantage of the fact that most of the female breast is fat tissue, so it's relatively transparent to the low doses of radiation used in mammography. Am wondering if all the while we are getting ct scans for lung cancer, is this also scanning for. This test can help show if the cancer has spread to your bones. Normally, a pet scan is not used for breast cancer screening. This radioactive tracer can help identify areas of cancer that an mri or ct scan may miss. In conclusion, this case shows that pet/ct can be utilized as an alternative method of diagnosing breast cancer in cases where conventional imaging modalities fail. The report of ct scan cannot be the basis of determining if a patient has cancer or not; A pet scan is often combined with a ct scan (known as a pet/ct scan). Right now, ct scans are not used routinely to evaluate the breast. This tracer can help identify areas of cancer that an mri or ct scan may not show. A breast pet scan is often very specific and sensitive and is approved for patients. Objectives bone is the most frequent site of breast cancer metastases.considering many breast cancer patients are old age,bone is likely affected by degenerative or inflammatory bone disease.recently pet/ct has become an alternative study which could provide an accurate and efficient tool for detection of primary and metastatic foci.the purpose of this study was to compare the accuracy between pet/ct and bone scan for detecting bone metastases in breast cancer. In a ct scan, you can see the broad pictures of all tissues and organs present in the body.
Make The Card / How To Make A Beautiful Handmade Card In Ten Minutes - What company do i use to make my playing cards? . .or you want to make new cards with a reverse side, just choose the basic (and reversed card) no, you don't need to remake your cards. Make your own personalized business card today with our free business card maker. Magic card creator, magic card creater, magic card generator, generator, magic, characters of mtg card maker is not affiliated with, endorsed, sponsored, or specifically approved by wizards of the. The gathering players to easily create and share custom cards and concepts. Card — the term card (from greek χάρτης chartēs , paper, papyrus ), primarily refers to cardboard or a piece of this.more generally, the term can refer to any of various small flat objects, typically made from. Keep chaining them to add more than 1 token. This section appears on your right only if the image and the name of your card monster has been changed. .or ...
How To Deal With A Moody Cancer Woman : Interesting facts about Cancer Zodiac - 21FACTS.NET - Share your feelings with her. . How to attract a cancer woman. As a life partner because she knows the rules of interesting with a lot of layers to her charismatic personality, the cancerian woman does have some dominating traits. Treat her siblings with respect. But books, magazines, movies, or puzzles may be welcome distractions during chemotherapy. Cancers have a need unlike any other sign to externalize their feelings—if you just acknowledge them, it helps to diffuse their moods. When you are diagnosed with cancer, it can be difficult to identify and honor your feelings. These girls tend to be moody and unpredictably emotional at times. When visiting a friend with cancer, one of the most meaningful things you can do is simply listen, say social workers at msk. As one of the most emotional moon signs, learn how to deal with the sensitivity a cancer moon sign brings. There...
Sayangnya, identitas wanita tersebut tidak disebutkan, meski fotonya … Beruntung, putri kartika putri itu tak lagi merasakan sakit meski mengalami insiden kecelakaan tersebut. Budi arista romadhoni selasa, 16 november 2021 | 14:03 wib. Golongan darah rhnull hanya dapat ditemukan pada 43 orang di seluruh dunia, termasuk wanita tersebut. Wanita beli makanan pakai jasa ekspedisi, saat paket dibuka naik darah: Tarif Balai Laboratorium Kesehatan Dan Kalibrasi Yogyakarta from labkes.jogjaprov.go.id Vor 1 tag · cek fakta infografis jakarta bogor bekaci jabar jogja jateng malang jatim bali lampung regional lainnya banten. Untuk jadwal pelaksanaan skb casn pemprov sumatera selatan atau sumsel, dapat dilihat di sini. Ilustrasi tes gula darah (foto: Golongan darah rhnull hanya dapat ditemukan pada 43 orang di seluruh dunia, termasuk wanita tersebut. ...
Komentar
Posting Komentar